ENDODONTICS
歯内療法
当院の歯内療法の特徴

マイクロスコープを使用した精密治療
マイクロスコープ(手術用実体顕微鏡)は精緻な処置を要求される歯科治療においてさまざまな場面で有効ですが、とりわけ歯内療法における有効性は高く、
- 石灰化や閉塞した隠れた根管の探索
- 根管充塡材、ポスト、破折器具などの除去
- 医原性の穿孔(パーフォレーション)の修復
- 肉眼では確認困難な亀裂や破折部位の特定
- 外科的歯内療法の容易化
など、多くのことを可能にしました。
また実際、マイクロスコープを使用して治療した場合、治療の予後が改善されたという報告※もあります。
当院では、歯内療法のすべての症例にマイクロスコープを使用しています。
※
Monea M et al. The impact of operating microscope on the outcome of endodontic treatment performed by postgraduate students. Eur Sci J. 2015;305- 11.
Setzer FC et al. Outcome of endodontic surgery: a meta-analysis of the literature – part 1: comparison of traditional root-end surgery and endodontic microsurgery. J Endod. 2010;36:1757-1765.
Setzer FC et al. Outcome of endodontic surgery: a metaanalysis of the literature – part 2: comparison of endodontic microsurgical techniques with and without the use of higher magnification. J Endod. 2012;38:1-10.

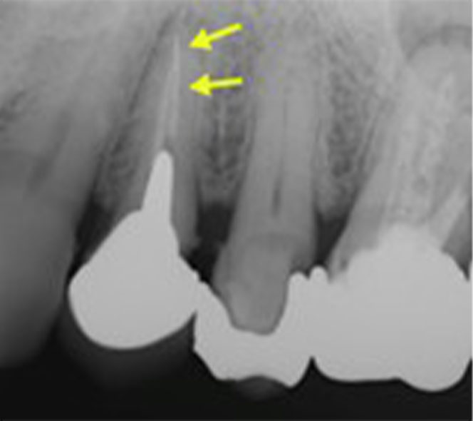
CBCTを用いた精密検査
当院は、歯科用に開発されたCTであるCBCTを備えています。
CBCTは医科用のヘリカルCTと比較して、①空間分解能(解像度)が高く、②放射線量(被ばく線量)が低いという特徴があります。
CBCTにより、2次元のレントゲン写真ではわからない3次元的な歯の構造を検査することが可能です。
歯内療法においては、根の構造を事前に把握することで、危険を回避したり、問題点を明らかにすることができます。その結果、安全に治療を進めることができ、治療の成功率の向上につながります。
そのため、ラバーダム防湿をせずに非外科的歯内療法を行うことについて患者の同意を求めたり、同意を得たりすることは不適切である。また患者の口頭または署名による同意があったとしても、標準治療を無視するものであるとして容認されず、歯科医師の過失とみなされる可能性がある。」
(AAE Position Statement “Dental Dams” 2024)
ラバーダム防湿の徹底
口の中の、さらに唾液の海の中という環境に存在する歯の治療は常に困難を極めます。
唾液は、口の中を清浄に保つ働きがありますが、その中には常にある程度の細菌を含んでいます。
特に「クリーン、かつドライ」な環境を保つことが治療結果に直結する歯内療法では、治療部位に唾液が入り込むことは絶対に避けなければなりません。
そこで、患歯を周囲の唾液から隔離するため、また、治療器具の誤飲、誤嚥を防止するために、治療する歯に対してゴムのシート(ラバーダム)を用いて隔離処置(防湿)をすることが世界的にゴールドスタンダードとされています。
当院もそれに倣い、歯内療法(非外科的歯内療法)のすべての症例にラバーダムを使用することを基本としています。
非外科的歯内療法
(Non-surgical Endodontics)

非外科的歯内療法は、いわゆる従来の「歯の神経の治療」と呼ばれているもので、歯の上から穴を開け、神経を除去したり、感染している神経の管を消毒する治療です。
治療前の神経の状態により、抜髄法、感染根管治療、再治療に分けられます。
治療にあたって、歯を唾液から隔離するためにラバーダムを使用します。
通常1回の治療に60分〜90分程度かけさせていただき、状態により複数回の治療が必要となります。また、奥歯の治療にはある程度の開口量が必要となります。
抜髄法(Pulpectomy)
むし歯が歯の奥深くまで進んでしまい、歯の神経(歯髄)にまで達してしまうと、激しい痛みを感じることがあります。この痛みを取り除くために、神経を取り除く処置を行います。また、被せ物やブリッジ等を装着するために便宜的に抜髄を行う場合もあります(便宜抜髄法)。
抜髄法の成功率は概ね96%程度※とされています。
感染根管治療(Root canal treatment)

歯の神経(歯髄)が死んでしまうと、その組織は細菌の格好のすみかとなって腐敗を起こします。腐敗した組織で繁殖した細菌や細菌の毒素が、歯の神経の入口の穴(根尖孔)から漏れ出し、周囲の組織に炎症を起こします。
治療手技は抜髄法と同様ですが、より注意深く、徹底した消毒処置が必要となります。また、進行したむし歯等により歯の外形が大きく損なわれている場合も多いため、高度な診断技術と治療技術が要求されます。
感染根管治療の成功率は歯の状態や病変の大きさによって大きく左右されますが、86%程度※とされています。
再根管治療(Root canal retreatment)
一度歯の根の治療(根管治療)を受けた歯が、再び細菌に感染したり、最初の治療で感染を取り除けていなかったりした場合に、歯の根の周囲に炎症を起こす場合があります。このような場合には、再根管治療が必要になります。
再根管治療は、一度治療した歯の根の内部を再度きれいに清掃し、消毒を行う治療です。治療によって根の内部がさらに複雑化してしまっている場合もあり、非常に技術と経験が要求される治療です。過剰な切削により空いてしまった穴をふさいだり、折れこんでしまっている治療器具を除去する処置が必要な場合もあります。
状況により、外科的歯内療法が選択されます。
再根管治療の場合には成功率は大きく低下し、62%程度※とされています。そのため、初回治療をいかに確実に行うかが重要とされています。
※UIf Sjögren, et al. 1990
外科的歯内療法
(Surgical Endodontics)
外科的歯内療法は、歯の外側から直接感染源にアプローチする治療法です。
通常、非外科的歯内療法が奏功しない場合や、再根管治療が困難な場合に選択されますが、歯内療法済みの歯で、被せ物を外したくない場合等にも行われます。
歯肉を切開し、生えている歯の根にアプローチする歯根端切除術や、一旦歯を抜去し、感染部位を取り除いた後に再びもとに戻す意図的再植術があります。
歯根端切除術(Apicoectomy)
Translations of the AAE’s illustrations were performed by Koizumi Dental Office. The AAE does not warrant the accuracy or reliability of the translation.
歯ぐきを切開し、歯の根の先や感染部位を直接除去する治療法です。
利点
- 治療回数が1回で済む
- 感染源を直接的に除去または封鎖できる
- 病変部の直接的な診断ができる
リスク
- 他の手術と同様のリスク(全身的リスクが高い場合は施術できないなど)
- 根の先端部を切削除去するので、根が短くなる
- 歯ぐきに切開の跡が残る可能性がある
- 歯ぐきが退縮し、根の表面が露出する可能性がある
意図的再植術(Intentional Replantation)

歯を一旦抜去し、感染部位を除去した後に埋め戻す治療法です。
歯ぐきを切開する必要はほとんどありませんが、スムーズな抜去と埋め戻しの処置が必要であるという特性上、根の形が単純であることが条件となります。
利点
- 治療回数が1回で済む
- 感染源を直接的に除去または封鎖できる
- 病変部の直接的な診断ができる
リスク
- 他の手術と同様のリスク(全身的リスクが高い場合は施術できないなど)
- 根の先端部を切削除去するので、根が短くなる
- 治療後は通常2週間程度の固定期間が必要
- 埋め戻した歯が必ず生着するという保証はない
- 治療後に歯根吸収や骨性癒着を起こす場合がある
- 抜歯時に被せ物が取れてしまう場合がある
